当前位置:首页 > 新闻中心 > 医院动态

霍邱县人民医院神经外科成功救治颅脑贯通伤少年

发布时间:2025-10-30 14:10作者:李亮 刘啸雨 保护视力色:       

近日,霍邱县人民医院神经外科成功救治一名因车祸导致树枝刺入颅内的15岁少年。经过紧急手术和精心治疗,患者目前已康复出院。

lQLPM4Mu0qy10N_NAQ7NAeyw2aOpeP39VrgI3U5a5Mi8AA_492_270.png

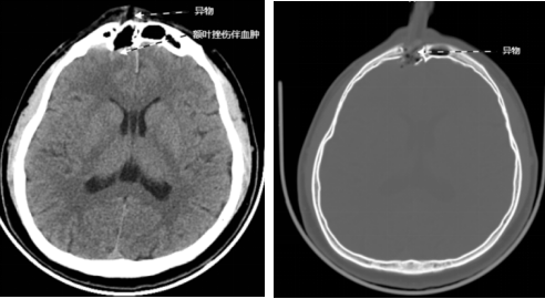
该少年因车祸致头部重伤,被树枝刺入前额部。虽伤后意识清楚,但经头颅CT检查确诊为开放性颅脑损伤,伴有右侧额叶挫伤伴血肿、额骨骨折等严重情况,若不及时干预、随时可能出现意识障碍、颅内压增高、继发颅内感染,严重可导致脑疝形成,危及患者生命。神经外科主任方有利带领焦健治疗组团队紧急会诊后,认为需立即手术清除血肿、修复损伤,以防范颅内感染、脑疝等危及生命的风险。

lQLPM4o1zbYJUd_NATvNAoiw0GAIw2-QTvII3U5bLesTAA_648_315.png

医院立即开通绿色通道,由手术团队为患者实施“额部冠状切口开放性伤口清创+硬膜外血肿清除+碎骨片取出+硬脑膜修补术”。手术历时2小时5分钟,成功清除20毫升硬膜外血肿,完整取出碎骨片并完成硬脑膜修补。术后患者恢复良好,未出现并发症。

lQLPD4ReCRSod1_NATjNAmqwZNY68VVvQ1kI3U56vDB5AA_618_312.png

方有利主任提醒,头部外伤后即使意识清醒也需立即就医检查,排除颅内损伤隐患。日常生活中应做好头部防护,骑行时应正确佩戴安全头盔,预防意外发生。

此次成功救治体现了霍邱县人民医院神经外科在急危重症颅脑损伤救治方面的专业水平,展现了多学科协作应对突发情况的应急能力。